Does My Child Need an Expander?

Does My Child Need an Expander?

This is one of the most common questions parents ask when their child visits the dentist or orthodontist. Many children between the ages of 8 and 10 are fitted with expanders, which can make parents wonder whether it’s truly necessary, or whether their child might be...
A Recent Case Study on Dental Implants

A Recent Case Study on Dental Implants

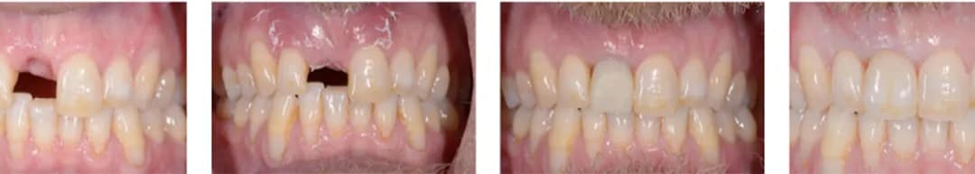
Our patient was presented in 2015 with an old front crown which was made with old dental technology. He had an injury to the tooth 20 years prior and had root canal treatment and a crown. It had a metal base and hence a dark margin, which didn’t look natural. We...
A recent case study on Dental Decay

A recent case study on Dental Decay

We recently saw this 15 year old patient for a check-up and identified possible signs of tooth decay. Following an X-Ray, it was clear that there was significant tooth decay and caries needing urgent treatment for our patient. We then cleaned the decay from the...
Invisalign case study

Invisalign case study

The Problem:  Dr. Danneil Wood has had the pleasure of treating this patient for more than 25 years. Her dental journey began when she first received braces from an orthodontist about 20 years ago. However, in recent years, her teeth have experienced some relapse,...