Cosmetic Dentistry, Implants & Family Care.
Jacaranda Dental Blog
|
Are you looking for a brighter, more confident smile? At Jacaranda Dental Surgery in Caringbah, we offer a comprehensive range of teeth whitening services to help you achieve the radiant smile you’ve always wanted. Say goodbye to stains, discoloration, and dull teeth, and say hello to a more vibrant you.
Does My Child Need an Expander?
This is one of the most common questions parents ask when their child visits the dentist or orthodontist. Many children between the ages of 8 and 10 are fitted with expanders, which can make parents...
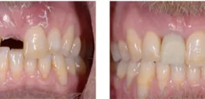
A Recent Case Study on Dental Implants
Our patient was presented in 2015 with an old front crown which was made with old dental technology. He had an injury to the tooth 20 years prior and had root canal treatment and a crown. It had a...
Preventing decay with fissure sealants
As a parent, you want the best for your child's health, and that includes their dental care. One of the most effective ways to help prevent cavities and maintain your child’s oral health is through...
A recent case study on Dental Decay
We recently saw this 15 year old patient for a check-up and identified possible signs of tooth decay. Following an X-Ray, it was clear that there was significant tooth decay and caries needing...
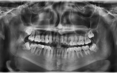
Wisdom Teeth
Are wisdom teeth causing you pain? Here’s what you need to know… Wisdom teeth are the last set of teeth to develop, usually appearing between the ages of 17 and 25. While some people don’t...
Looking after Baby Teeth 👶
(Document originally published on 24th February 2020) Every parent knows the pain that comes with teething. The best thing you can do for your toddler is give them something soft and chew on and...
Early dental visits for children
Did you know that nearly 11 out of every 1,000 children aged 5 to 9* are hospitalised for potentially preventable dental problems? This alarming statistic, from the ADA’s Children and Young People...
Dental Health Week 2024
Dental Health Week: Let’s Talk About Gums! Dental Health Week (DHW) is the Australian Dental Association’s (ADA) major annual oral health campaign and from the 5-11th August, the focus this year is...
Child Dental Benefits Schedule
The Child Dental Benefits Schedule - A Guide for Parents As parents, we all want the best for our children's health, including that they have a healthy smile. In Australia, the Child Dental Benefits...









