Cosmetic Dentistry, Implants & Family Care.
Professional Teeth Whitening
in the Sutherland Shire
|
Are you looking for a brighter, whiter smile? At Jacaranda Dental Surgery in Caringbah, we offer a comprehensive range of teeth whitening services to help you achieve the radiant smile you’ve always wanted. Say goodbye to stains, discolouration, and dull teeth, and say hello to a more vibrant you.
What Is Teeth Whitening and How Does It Work?
Teeth whitening is a cosmetic dental procedure that helps remove stains and lighten the colour of your teeth. It’s a simple, non-invasive way to enhance your smile. Our dental whitening treatments use safe and effective methods to break down and remove the stains that have built up on your teeth over time.
While we can do ‘in office’ teeth whitening we have found take home kits to be more reliable and easier for the patient, with excellent results that last. Once patients have a take home kit, they can keep it to be used in the future with the ability to buy separate ‘top up’ kits at any time for a small cost .
The result? A seamless, natural-looking smile that conceals any chipped, discoloured, or slightly misaligned teeth. The procedure is quick, painless, and requires no removal of your tooth enamel, making it a fantastic option for those seeking a convenient and effective cosmetic solution.
What to Expect from Teeth Whitening
Before your teeth whitening treatment, our friendly and experienced dental team will thoroughly examine your teeth and gums to ensure you are a suitable candidate for whitening.
During your teeth whitening consultation, we will discuss the process, answer any questions you may have, and address any concerns to ensure you’re comfortable throughout the treatment.
Upon choosing to proceed with the treatment, we will make some custom trays for you and provide you with the whitening gel for subsequent use at home.
With our take-home teeth whitening kits, you have the flexibility to administer the treatment at your own convenience, providing a time-saving and cost-effective solution. These kits empower you to manage your teeth whitening journey, featuring mouth trays and a high-quality whitening gel to ensure a safe and efficient experience.
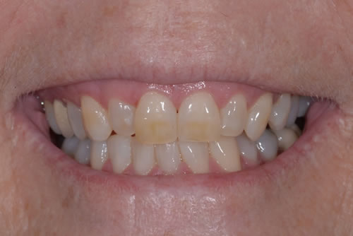
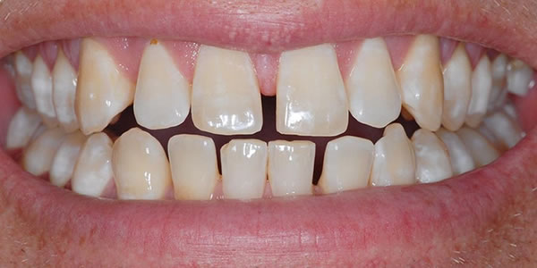
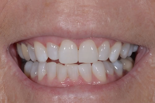
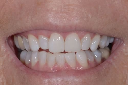
Teeth Whitening Before & After
See the incredible transformations that our teeth whitening treatments have provided to our satisfied patients. View our before-and-after photos and witness the power of professional teeth whitening.


Professional Teeth Whitening Costs
We understand that cost is an important factor when considering teeth whitening. At Jacaranda Dental Surgery, we offer competitive teeth whitening dentist prices to make your dream smile more accessible than ever.
$720 Take home treatment.
Your Local Sutherland Shire Teeth Whitening Professionals
When you choose Jacaranda Dental Surgery for your teeth whitening needs, you’re choosing local experts who care about your oral health and overall well-being. Our dedicated team of dental professionals are committed to providing the best dental care in the Sutherland Shire.
Why Choose Jacaranda Dental Surgery for Teeth Whitening?
- Experienced Professionals: Our dentists have years of experience in cosmetic dentistry, ensuring you receive the highest quality care.
- Convenience: Our take home teeth whitening kits, let you whiten your teeth at your own convenience and in the comfort of your home.
- Personalised Care: We tailor our treatments to your unique needs, ensuring a comfortable and satisfying experience.
- Convenient Location: Located in Caringbah, we’re your local choice for professional teeth whitening in the Sutherland Shire.
Schedule Your Teeth Whitening Appointment and experience the difference at Jacaranda Dental Surgery.
