This is one of the most common questions parents ask when their child visits the dentist or orthodontist. Many children between the ages of 8 and 10 are fitted with expanders, which can make parents wonder whether it’s truly necessary, or whether their child might be missing out on an important early orthodontic treatment that many of their peers seem to have.
What Is a Palatal Expander?
A palatal expander is a device worn across the roof of the mouth. It is attached to the upper teeth and is designed to gradually widen the upper jaw.
Unlike braces, which mainly move teeth, an expander works by gently separating the two bones of the upper jaw. This increases the width of the palate and corrects underlying skeletal issues rather than simply shifting tooth position.
The device contains a small screw in the middle, which is turned daily. Each turn creates a small amount of widening. The total number of turns depends on how much expansion is required.
Why Do Dentists Use Expanders?
Expanders are most commonly used to correct a crossbite. A crossbite occurs when the upper jaw is too narrow compared with the lower jaw. Instead of the upper teeth sitting slightly outside the lower teeth when biting down, the opposite happens, the upper teeth bite on the inside of the lower teeth.
Crossbites can occur on one side of the mouth or both sides.
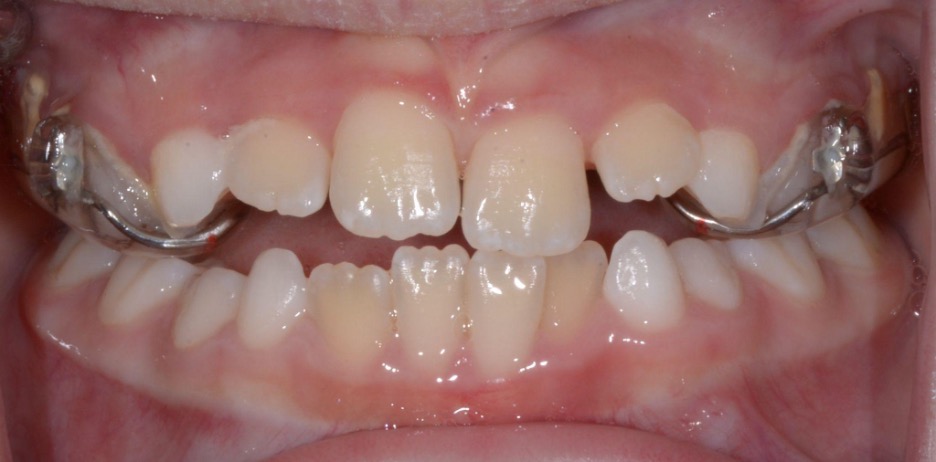
In the example shown here, the patient has a bilateral crossbite, meaning it occurs on both sides.
Why Is Treatment Done at 8–10 Years Old?
The timing of expansion is very important.
In younger children, the two bones that make up the roof of the mouth are still relatively easy to separate. This makes expansion effective and predictable. After about age 14, these bones become much more firmly fused. At that stage, widening the palate is far more difficult and may require surgery in combination with orthodontic treatment.
For this reason, expansion is often carried out during the late primary school years.
What Happens After Expansion?
Once the required width is achieved, the expander stays in place for several months. This allows the bone to stabilise and heal at the new width. After the expander is removed, retainers are typically used for around a year to help maintain the corrected jaw width.
Most children then move on to orthodontic treatment, such as braces or Invisalign, in early high school to straighten any remaining crooked teeth.
Can Expanders Help With Breathing?
In some cases, widening the palate may also slightly increase the width of the nasal passages, which can help with nasal breathing. However, if a child does not have a crossbite but snores or has symptoms of sleep apnoea, the first step is usually a referral to an Ear, Nose and Throat (ENT) specialist. Treating enlarged tonsils or adenoids is often the most appropriate treatment in those situations.
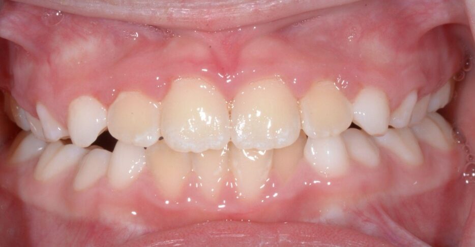
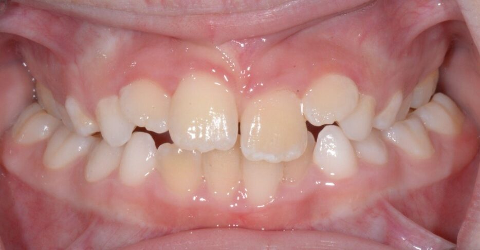
A Real Example
The patient shown in the images had a bilateral crossbite, with the upper teeth biting inside the lower teeth.
After expansion treatment, the upper teeth now sit correctly outside the lower teeth.
The patient is currently in Year 5, which is an ideal time both biologically and socially for this type of treatment. Because the underlying width problem has already been corrected, future orthodontic treatment, such as braces in Year 6 or 7, should be relatively straightforward.

If you have concerns about your child’s bite or jaw development, the team at Jacaranda Dental can help. Book a consultation to see whether early orthodontic treatment may be beneficial.
