Cosmetic Dentistry, Implants & Family Care.
Explore the Benefits of
Gummy Smile Treatment
|

Treatment Options for a Gummy Smile
When it comes to addressing a gummy smile, there’s no one-size-fits-all solution. That’s why we offer a range of personalised treatment options to suit your unique needs:
- Gum Contouring: Our skilled dental professionals can expertly reshape your gumline through a minimally invasive procedure. Gum contouring is a precise technique that sculpts your gums to reveal more of your beautiful teeth, giving you a balanced and harmonious smile.
- Botox for Gummy Smile: For those seeking a non-invasive approach, we offer Botox treatments to relax the muscles responsible for your gummy smile. This quick and virtually painless procedure can deliver remarkable results, leaving you with a more confident and radiant smile.
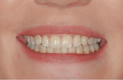
Gummy Smile Treatment Before & After


Why Choose Jacaranda Dental for your Gummy Smile Transformation?
- Expertise: Our team consists of highly skilled and experienced dental professionals who specialise in gummy smile treatments. We understand the intricacies of each procedure and are dedicated to delivering exceptional results.
- Personalised Care: At Jacaranda Dental, no two smiles are the same. We take the time to understand your unique concerns and aspirations, tailoring our treatments to meet your specific needs.
- Cutting-Edge Technology: We invest in the latest dental technologies and techniques to ensure your gummy smile treatment is safe, precise, and minimally invasive.
- Affordable Gummy Smile Treatment: Concerned about the cost of gum contouring or Botox for gummy smile treatment? We offer competitive pricing and flexible payment options, making your dream smile more accessible than ever.
- Convenient Location: We are proud to serve the Sutherland Shire community, providing easy access to our state-of-the-art facility for your gummy smile transformation.
Don’t let a gummy smile hold you back any longer. Take the first step towards a more confident, radiant you with Jacaranda Dental. Schedule your consultation today, and let us help you achieve the smile you’ve always dreamed of. Your journey to a gummy smile-free life begins here.