As a parent, you want the best for your child’s health, and that includes their dental care. One of the most effective ways to help prevent cavities and maintain your child’s oral health is through the use of fissure sealants.
Fissure sealants are a preventative dental treatment to protect your teeth from tooth decay. This is usually done on the chewing surface of the back teeth with deep grooves (fissures). The layer of thin sealants prevent food and plaque from getting trapped in the deep pits and grooves; which can easily lead to tooth decay.
Fissure sealants are recommended for children and teenagers, as they are more prone to cavities due to their eating habits and less thorough brushing techniques. The Australian Dental Association (ADA) recommends that fissure sealants be applied to children’s permanent molars as soon as they emerge, usually around the age of 6 to 12 years.
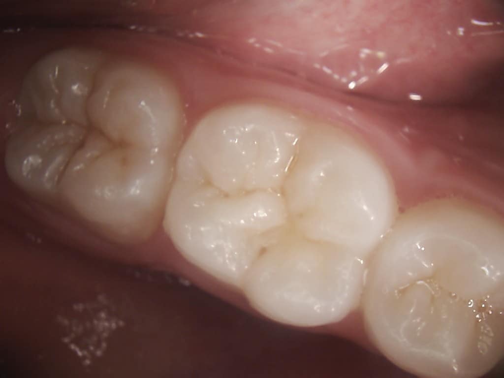
We recently treated a young patient with a deep pit in an upper molar. It appeared brown, but luckily, there was no decay as yet.
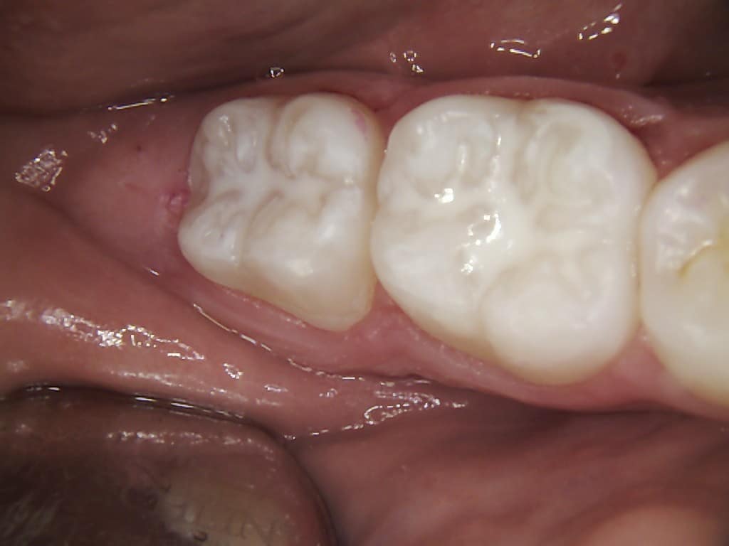
Fissure Sealant Process:
Stage 1: The patient’s tooth at the start of the appointment.
Stage 2: The tooth has been painted with disclosing gel in order to stain the bacteria.
Stage 3: The tooth has been cleaned out and dried using the airflow machine (our cleaning machine that we use in a general hygiene visit).
Stage 4: The sealant has been placed. The ring and green sheet around the tooth is to ensure the tooth is kept free of saliva.
Final stage: The sealants are set and ready to go.
In Australia, fissure sealants may be covered under the Child Dental Benefits Schedule (CDBS) if your child is eligible. The CDBS provides up to $1,000 in dental benefits over two consecutive years for children aged 2 to 17 years who meet the eligibility criteria.
To find out if your child is eligible or to book your child in for this procedure, please contact the team at Jacaranda Dental today on 9525 7725.





