Cosmetic Dentistry, Implants & Family Care.
Orthodontics
|
Transform Your Smile with Jacaranda Dental
Orthodontics refers to the part of dentistry that focuses on the diagnosis, prevention, and treatment of dental and facial irregularities. We use various orthodontic devices, such as braces and retainers, to straighten teeth, correct misaligned bites (malocclusions), and improve overall oral health and aesthetics. Orthodontic treatment not only enhances the appearance of a person’s smile but can also contribute to better dental function and oral well-being.
What are Dental Braces?
Braces are a dental solution designed to correct various orthodontic issues. They consist of a system of wires, brackets, and bands that gently apply pressure to your teeth, gradually shifting them into their desired positions. This process allows braces to correct problems such as misaligned teeth, overcrowding, overbites, underbites, and more.
Over time, the continuous, gentle pressure encourages your teeth to move into alignment. Your dentist will periodically adjust the wires and bands to ensure consistent progress toward your perfect smile. The result? A straight, beautifully aligned set of teeth.
Who Uses Braces?
Braces are suitable for individuals of all ages provide you with a lifetime of benefits. Whether you’re a teenager or an adult, braces can address a range of orthodontic concerns and provide you with a lifetime of benefits.
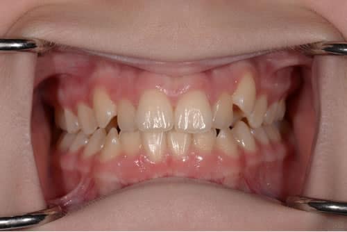
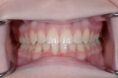
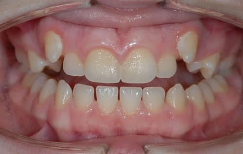
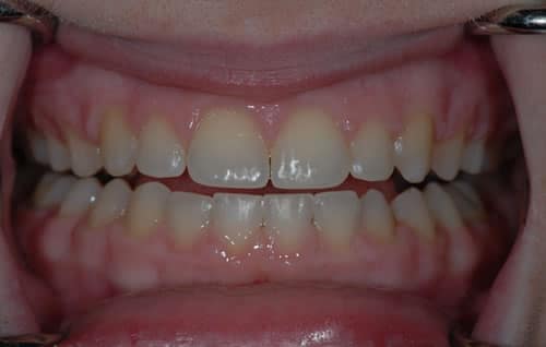
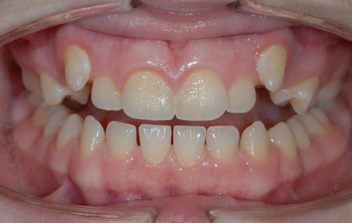
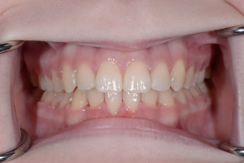
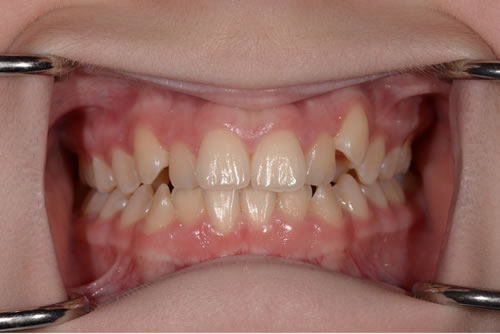
Before and After transformations, Dental Braces




How Much Do Braces Cost?
One of the most common questions we receive is, “How much do braces cost?” At Jacaranda Dental Surgery, we understand that affordability is a significant concern. The cost of braces can vary depending on the complexity of your case and the type of braces you choose. During your initial consultation, our team will provide a comprehensive evaluation and a clear, transparent breakdown of the costs involved. We are committed to making orthodontic treatment accessible to all, and we offer flexible payment options and accept various insurance plans to ease the financial burden.
Contact our team today to schedule a consultation.
Why Choose Jacaranda Dental for Dental Braces?
- Expertise: Dr Wood has over 20 years of experience in creating beautiful, healthy smiles and provides the highest quality care and expertise throughout your braces journey.
- Customised Treatment: We understand that every smile is unique. That’s why we create personalised treatment plans tailored to your specific needs, ensuring the best results for your individual case.
- Modern Technology: At Jacaranda Dental Surgery, we invest in the latest orthodontic technologies and techniques to make your treatment as efficient and comfortable as possible.
- Affordability: We believe that everyone deserves a beautiful smile. Our flexible payment options and insurance acceptance make orthodontic treatment accessible to all.
- Patient-Centric Approach: Your comfort and satisfaction are our top priorities. We’ll guide you through every step of your braces journey, answering your questions and addressing your concerns with care and compassion.
To find out how orthodontic alignment can change your smile, contact us today to schedule your consultation.