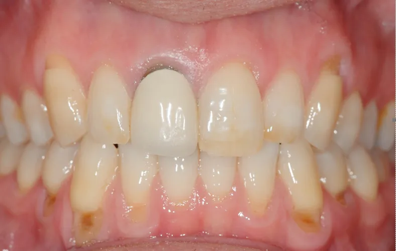
Our patient was presented in 2015 with an old front crown which was made with old dental technology. He had an injury to the tooth 20 years prior and had root canal treatment and a crown. It had a metal base and hence a dark margin, which didn’t look natural. We changed it to a new all ceramic crown with much improved appearance.
Then in 2023 he presented with pain and swelling and a 3D XRay CT scan revealed that the root had split and this was not something we could fix! The tooth needed to be extracted which was a confronting proposition for the patient.
Replacement Options Included:
- Removable Dentures
- Fixed Bridge
- Implant
Due to numerous long-term benefits, our patient opted for an implant and the treatment began.
The Steps to Fixing the Implant:
STEP 1: Extraction of the failing tooth and immediate replacement with a temporary denture while the extraction site healed.
STEP 2: After 2 months of healing an implant was placed with a bone graft and covered over for 6 months until the implant and bone graft had integrated. He continued to wear the temporary denture.
STEP 3: After 6 months the implant was uncovered with a 2nd stage surgery and the process to make a temporary crown which is attached to the implant and develops the gum shape. The denture is no longer necessary.
STEP 4: Once the gum shape was developed, the final crown is made to match the opposite corresponding tooth.
To discuss your dental needs and if dental implants are a suitable solution for you, please contact the Jacaranda Dental team in Caringbah on (02) 9525 7725.
The Steps to Fixing the Implant:
STEP 1: Extraction of the failing tooth and immediate replacement with a temporary denture while the extraction site healed.
STEP 2: After 2 months of healing an implant was placed with a bone graft and covered over for 6 months until the implant and bone graft had integrated. He continued to wear the temporary denture.
STEP 3: After 6 months the implant was uncovered with a 2nd stage surgery and the process to make a temporary crown which is attached to the implant and develops the gum shape. The denture is no longer necessary.
STEP 4: Once the gum shape was developed, the final crown is made to match the opposite corresponding tooth.
To discuss your dental needs and if dental implants are a suitable solution for you, please contact the Jacaranda Dental team in Caringbah on (02) 9525 7725.
Before and After – Dental Implant Procedure

