Fillings and Root Canal Treatment
Saving teeth | Inside and Out
Fillings and Root Canal Treatment are some of the most common dental treatments. We’ve been doing them on a daily basis for over 25 years.
Fillings
Dental fillings are a very common procedure.
Sometimes teeth get damaged or cracked. Biting and chewing can cause the back teeth to crack.
Tiny fractures or gaps (called fissures) cause nasties (bacteria) to get into the tooth. The bacteria can eat away at the tooth and cause holes which can be painful.
Fillings block cracks, gaps and holes to repair and stop tooth damage.
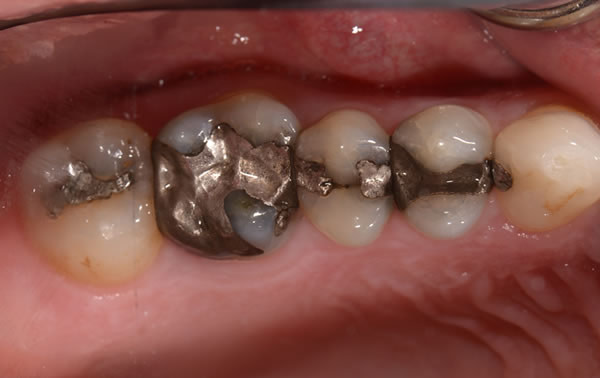
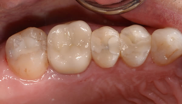
Our practice is amalgam free (the grey/silver product that’s sometimes used to fill gaps). There are plenty of alternative materials that achieve the same results.
Resin fillings work well in small to medium sized cavities and can be virtually invisible. Ceramic Inlays and crowns are a better option for teeth that require large rebuilds.
Before and After Dental Fillings



Fissure Sealants
Fissure Sealants are the best way to prevent children’s tooth decay
The grooves on the biting surfaces of most teeth are too deep and too narrow to be completely cleaned with a toothbrush. Fissure sealant is a dental resin put into the gaps to stop food bits building up and causing bacteria and decay.
Fissure sealants don’t need any drilling, they’re painless and less expensive than fillings.
We usually recommend them for children and teens, especially if they’re at risk of tooth decay.
Root Canal Therapy
First things first – here at Jacaranda Dental we love teeth. We don’t like taking them out if we can help it. Instead we might suggest root canal treatment.
Root Canal treatment is sometimes the best and only way we can save a damaged tooth.
The proper name for this type of treatment is Endodontics. It’s also called Root Canal Therapy or root treatment. It can save a tooth by removing the dead and infected nerve tissue in the root of the tooth
Successful Root Canal Therapy will:
- Save a tooth from being taken out
- Stop the pain (if the nerve is infected)
- Stop the spread of infection
- Prevent an abscess from forming


Why the bad reputation?
It’s widely thought that root canal treatment is one of the most painful types of dental treatment. It’s not uncommon for people to ask the dentist to whip the painful tooth out if it’s at the back.
Stop! That’s not always the right solution. It’s better to keep your tooth.
Teeth do not need a nerve to survive in the mouth. It can stay in place to be used for chewing and backing up the surrounding teeth. But, it will be fragile so it’s a good idea to protect it with a crown.
Feeling anxious
Feeling Anxious?
These days, root canal treatment is routine dentistry and can be performed painlessly. We are experienced at this treatment.
Because it’s had a bad reputation over the years, some people really fear Root Canal treatment. You won’t be alone. We offer options such as happy gas and numbing the area so you’ll barely feel a thing.
There’s more information here but we’ll talk it through when you come in.
You know you need dental treatment but not sure which is the right one for you? We can help.
Give our friendly team a call or book online. We’ll discuss your options when you come in.









